地址:扬州市泰州路45号
门诊服务:0514-82099009
急诊服务:0514-82099016
预约咨询:0514-82209111
健康管理中心:0514-82099799
近日,我院眼科团队完成了医院首例眼眶肿瘤日间手术,手术过程顺利,术后患者恢复良好。
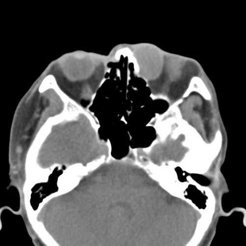
眼科副主任朱晓宇介绍,该患者为老年女性,自2年前发现左眼眶缘肿块后,肿块开始渐进性向眶内增长,并出现明显复视。患者随即来我院眼科门诊就诊,经眼眶CT后检查发现,肿块已累及眼眶,经过入院前评估,患者被收入日间病房。
5月10日,朱晓宇、副主任医师刘晓丽对该患者施行了左眼眶肿瘤摘除术,术中摘除一枚巨大脓性肿块,约25mm直径大小。术后第三天,患者复视症状消失,眼睑创口处无渗血渗出,对于能够日间顺利完成这么复杂的手术,患者感到很意外,也表示很感激。
据悉,我院眼科日间病房目前已实现从眼睑、眼表、白内障、青光眼、视网膜玻璃体及眼眶疾病的日间手术全覆盖,在保证患者医疗安全的情况下,极大地节约了病人的住院时间及住院费用,大大提高了医疗资源的利用率。
