地址:扬州市泰州路45号
门诊服务:0514-82099009
急诊服务:0514-82099016
预约咨询:0514-82209111
健康管理中心:0514-82099799
交汇点讯 近期,扬州大学附属医院肝胆外科完成了一例针对胰头部神经内分泌肿瘤实行保留十二指肠的胰头部分切除术,极大提高了患者手术后的生活质量。

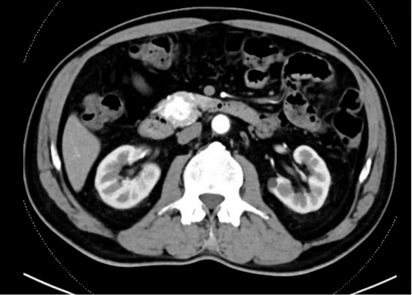
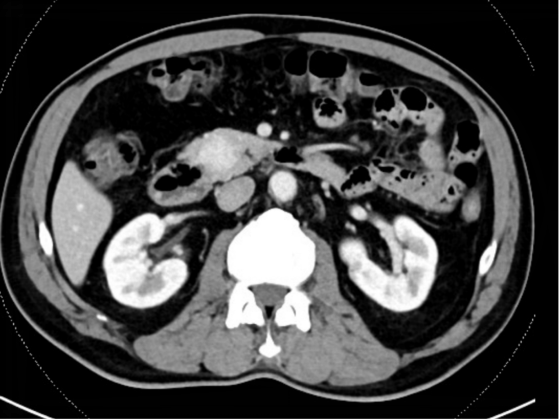
患者杨先生因“上腹部疼痛不适1月余”至扬州大学附属医院肝胆外科副主任、主任医师陶立德团队专家门诊就诊,查腹部CT结果检查结果示“胰头部占位”,予收住入院进一步诊治。入院后完善相关检查,认真评估患者肿瘤情况,考虑为胰腺神经内分泌肿瘤。


该患者肿瘤位于胰头部,治疗难度很大。扬大附院肝胆外科、影像科、麻醉科、消化内科、内分泌科等为其联合施行了多学科联合诊疗(MDT)。经术前精准评估,最终拟定两种手术方案进行比较选择:第一种方案是按传统手术方式施行保留幽门的胰十二指肠切除术,手术需切除十二指肠、部分胆总管、胆囊、胰头等,并完成胃肠、胰肠、胆肠等三处吻合,但该手术存在围手术期并发症多、患者术后会出现消化道功能障碍、营养不良等状况,影响生活质量,通常适用于预期生存期短的恶性肿瘤患者。第二种方案,施行胰头部分切除手术,即仅切除肿瘤及周围胰腺组织,术中完整保留胆管、十二指肠,避免胰管损伤,该方案优点在于在减少术中出血量、缩短手术时间、保护胰腺分泌功能等,预后远期效果优于前者。
经与患者及家属充分沟通,最终决定按照第二种方案治疗,近日由陶立德主任医师主刀与麻醉科团队密切配合,过2小时5分钟的细致操作,成功为患者实施了胰头部分切除手术。术中精准解剖并注意保留胰腺实质,术后全程精细化管理。术后1周患者出现胃瘫,予置入空肠营养管行鼻饲流质饮食。现患者胃十二指肠功能已恢复,可正常经口进食半流质饮食,近期就可出院。

陶立德主任医师介绍,随着影像学技术、健康意识普及和医学科普宣传的增加,人们对胰腺病变的认识明显提高,胰腺肿瘤的检出率明显上升,且年轻化趋势明显,这也使得许多良性和低度恶性肿瘤得以被早期发现。传统的手术方式中,对于位于胰头部的肿瘤常需行胰十二指肠切除术,这种手术方式创伤大,胰腺的功能影响明显,且会切除“无辜”的胰周器官,从而对患者的远期生活质量造成一定影响。而对于患有直径小于2cm的胰腺神经内分泌肿瘤、实性假乳头状肿瘤、黏液性囊腺瘤、浆液性囊腺瘤等的患者来说,通常预后较好,患者可长期生存,因此近年来对于这部分患者趋向于制定个性化诊疗计划,精准切除病灶的同时尽量保留胰周器官、胰腺组织及消化道连续性,以提高患者生活质量。
通讯员 傅轩
新华日报·交汇点记者 张晨
报道链接:
https://jhd.xhby.net/share-webui/detail/s67120e71e4b0458dc38cd537
《交汇点新闻》2024年10月18日