首页 新闻中心 媒体之声

【现代快报】2岁女童反复咳喘两个多月,医生在支气管里取出坚果壳

发布时间:2025-07-21 浏览数:2198

现代快报讯(通讯员 傅宣 记者 顾潇)2岁女童反复咳嗽、喘息2个多月,家长辗转求医却无法彻底治愈。近日,扬州大学附属医院医生接诊后发现女童应该是支气管内有异物。经过手术,最终完整取出一枚约10mm×8mm尖锐的坚果壳,这才彻底治愈了女童的咳嗽、喘息。

 

检查显示支气管内有异物

2岁的萱萱(化名)2个多月来反复咳嗽、喘息,家长带着她辗转求医,多次被诊断为“喘息性支气管肺炎”,还先后在两家医院住院治疗,但症状始终无法彻底缓解,治疗后稍有好转,停药后却再次加重。近日,萱萱的家长带她到扬州大学附属医院进行治疗。

据接诊的陶经智主治医师介绍,萱萱入院时呼吸较急促,喘息症状明显,双肺听诊时可以听到喘鸣音,左肺较为明显。经过详细的询问得知,萱萱没有明确的过敏及喘息病史,但平时爱吃花生、瓜子等坚果。结合这些线索,医生高度怀疑“支气管内异物”可能,建议进一步进行胸部CT检查。

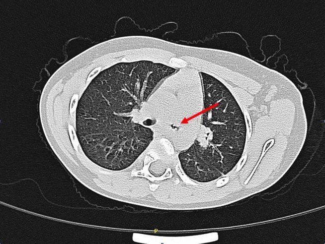
经过检查,在萱萱的左侧支气管近端发现一个高密度影堵塞,局部管腔严重狭窄。经多学科会诊后,扬州大学附属医院儿童支气管镜团队成员徐金梅副主任医师及陶经智主治医师为萱萱实施全麻下支气管镜检查+异物取出术,在手术中医生发现萱萱的左主近端支气管,有大量白色分泌物覆盖,异物深藏其中。由于异物滞留时间长达2个月以上,周围肉芽组织增生明显,支气管几乎被肉芽组织“封堵”,管腔狭窄超过70%,取出难度极大。

最终,医生凭借娴熟的技术,成功完整取出一枚约10mm×8mm尖锐的坚果壳,并仔细清除了增生的肉芽组织。手术后第二天,萱萱支气管管腔较前明显通畅,喘息症状明显改善。

据医生介绍,卡在萱萱支气管内的异物是尖锐的薄片状坚果壳,由于早期阻塞症状不明显,却引发反复的肺部感染,表现为咳嗽、喘息,如家属不能提供明确的异物呛咳史,很容易被漏诊。随着异物停留时间的增加,周围肉芽组织增生,引起支气管管腔狭窄,支气管阻塞症状才逐渐显现出来,这时候才容易被发现。

萱萱的案例并非个例,据医生介绍,气管异物是儿童意外窒息的“头号杀手”,尤其好发于1—5岁幼儿。孩子呛入异物,出现无法咳嗽、面色青紫,要立即采取“海姆立克急救法”进行急救,切记不要用手掏不要喂水。同时,要尽快前往医院就诊,由专业的儿科医生进行检查和处理。


报道链接:

https://app.xdplus.cn/xdkb/template/displayTemplate/news/newsDetail/39/147325.html?xyt=1753068331954

 

《现代快报》2025年7月18日

就医服务

公众服务

公众服务

员工服务

员工服务

返回顶部

  • 文章
  • 科室
  • 医生